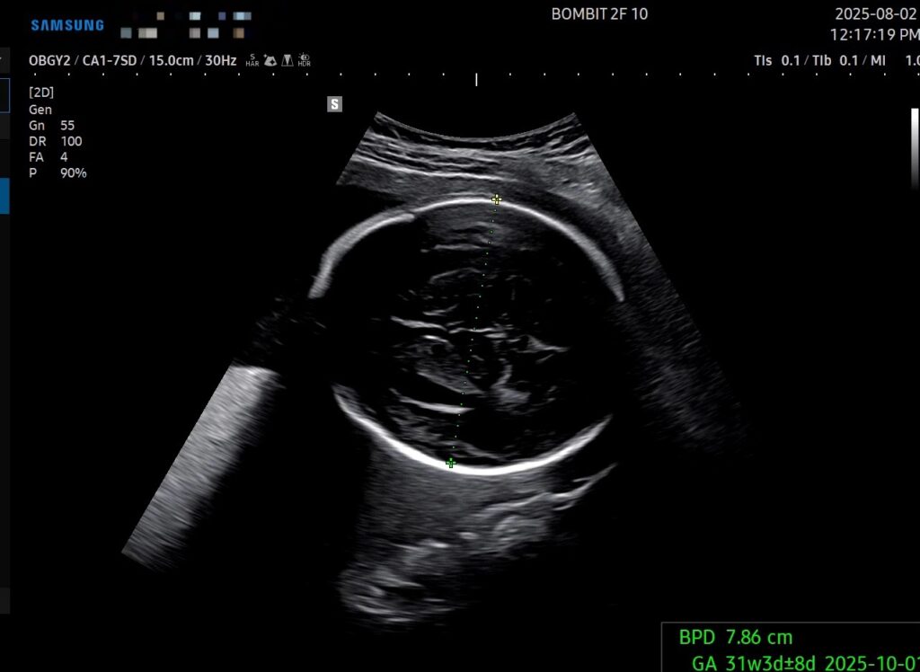
정확히는 29주 6일차 검진이다.
8. 2. 토요일, 정기검진을 하러 봄빛병원으로 갔다.
내 몸무게는 총 7.7kg가 늘었다. 이제 다음 번 진료부터는 2주에 한 번 주기로 와야 하고, 매번 단백뇨 검사를 진행한다고 한다.
어느덧 임신 후기에 다다르다 보니, 의사선생님도 초음파를 예전처럼 길게 봐 주시지는 않는다. 마미톡 초음파 영상 길이가 이제 1분대로 나오고, 심소도 안 들려주심.. 심장소리 못 들은게 조금 아쉬웠다 ㅜㅜ





…
..
.
우선, 단비는 기특하게도 돌았다! 이제 더 이상 역아가 아니란다. 기특한 우리 단비!
그리고 크기는.. 초음파에서 확인했듯 더 더 우량해졌다 -_-;;
29주 6일차의 초음파인데, 몸무게, 배 둘레, 다리 길이 기준으로 주수는 약 32주로 나온다.
전반적으로 뼈대가 크면서 배도 나온(=살도 잘 붙은) 그런 아기인 듯.
예상 몸무게는 1.958kg인데, 마미톡 주별정보의 30주차 적정 아기 무게는 1.4kg이라고 나온다. 아무리 초음파 측정이 오차범위가 있다지만 단비가 과도하게 큰 건 맞는 듯 하다 ㅜㅜ

또 의사선생님 왈 –
- 두상이랑 다리길이는 이 친구 스타일이다. 즉 골격 자체는 원래 이 친구가 큰 아이라서 그런 것이다.
- 다만 배 둘레는 더 통통하냐 아니냐의 변화가 생길 수 있는데, 지금 내가 할 수 있는 건 혈당 관리 뿐이다.
- 나중에 분만 방식을 자연분만보다는 수술을 고려해야 할 수도 있다는 것인데, 그것마저 그냥 그 때 가서 받아들이면 되는 것이다. 그러니 지금 할 수 있는 당 조절만 열심히 하자.
…
..
.
여튼.. 아기 크기는 혈당만 조절하면 되는줄 알았고, 지금까지 혈당과 관련한 다른 음식들은 나름 조절을 잘 해 와서, 이제는 좀 덜 급격하게 컸을 것이라고 기대했었는데 오산이었나 보다.
밥, 빵, 면, 음료류, 과일류 등의 음식이 제한되다보니 대체제인 고기를 많이 먹을 수 밖에 없었는데, 덕분에 단백질이 과다공급 되어버린 듯 하다. 골격도 골격이지만 배가 큰 걸 봐서는 아무래도 영양분 과공급이 원인이긴 한 듯.
그치만 다른 탄수화물류를 조절하는 입장에서 고기류마저 줄이는 것은 정말 쉬운 일이 아니다. 삶의 행복도가 너무 떨어진다 ㅜㅜ
여튼 아기는 별다른 이슈는 없고, 당뇨 관련해서도 그냥 지금까지처럼 하란다. 내과에서도 혈당이 과하게 튀지만 않으면 더 올 필요도 없이 계속 이렇게 관리하면 된다고 하셨다.
대학병원 전원을 위한 진료의뢰서도 받았다.
그래도 크기 외에는 별다른 이슈가 없다는 사실에 마음이 놓인 날이었다.
끗